En los últimos años, las innovaciones en materia odontológica han aportado un avance importante a los servicios que ofrecen profesionales en este sector.
Un ejemplo de ello son los implantes dentales, diseñados con el objetivo de solucionar la falta de piezas dentales en los pacientes.
Hoy en día, los protocolos para este procedimiento también se han transformado, permitiendo llevar a cabo el proceso de extracción, implante y colocación en el mismo momento. Esto es denominado implante de carga inmediata.
Corporación Dental es una de las clínicas odontológicas referencia en la colocación de implantes de carga inmediata en Antequera. Este centro cuenta con profesionales cualificados y el equipamiento preciso para este procedimiento.
Beneficios de los implantes de carga inmediata
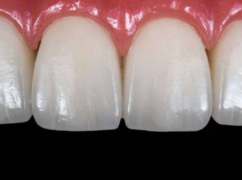
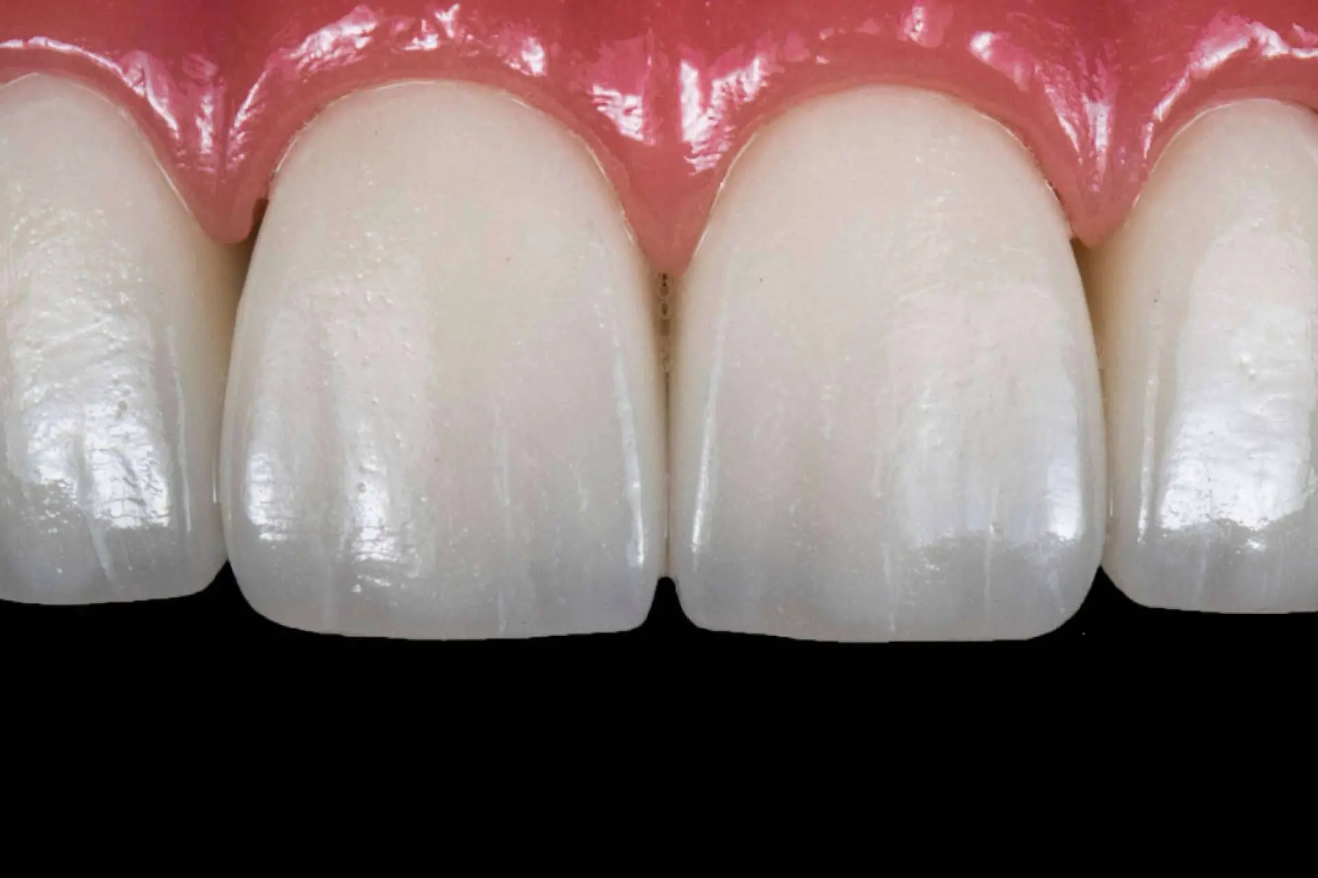
Básicamente, un implante de carga inmediata es aquel que permite la colocación del implante dental justo después de la extracción del diente natural. En este tratamiento se utilizan diferentes tecnologías, escáneres y software que ayudan a planificar en 3D todo el procedimiento.
Ya sea para la colocación de un implante dental unitario o de prótesis fijas, el método de implantes de carga inmediata permite la inserción del tornillo y la colocación de una corona provisional fija en el momento. Después de colocar el implante con un proceso de osteointegración, los especialistas llevan a cabo la implantación de una funda o prótesis definitiva.
Este proceso permite a los pacientes mantener la funcionalidad y estética de su sonrisa de forma inmediata. Se trata además de un tratamiento económico y que provee a los usuarios resultados permanentes, favoreciendo la recuperación de su sonrisa, y con ello una mayor seguridad y autoestima.
Adicionalmente, se trata de una técnica apta para la mayoría de las personas, siempre y cuando no sufran de bruxismo, enfermedades periodontales o una oclusión inadecuada. Estos aspectos pueden incidir en la supervivencia del implante.
Expertos en implantes de carga inmediata en Antequera
Como una clínica odontológica de amplia trayectoria, Corporación Dental se ha enfocado en proporcionar a la población servicios y atención adaptados a sus necesidades. Una de las áreas de especialización de los profesionales que integran este centro son los implantes de carga inmediata.
Los especialistas se han caracterizado por contar con la experiencia, recursos y tecnología necesaria para garantizar un resultado óptimo en este tipo de procedimientos. Adicionalmente, destacan por brindar asesoramiento continuo a los pacientes antes, durante y después de cada tratamiento.
A través de la página web de Corporación Dental, es posible contactar con este centro odontológico y solicitar una cita con los profesionales en implantes de carga inmediata en Antequera.






