Fumar no es una de las prácticas más saludables, ni mucho menos. Tampoco es recomendable sustituir el tabaco por otros productos como los vapeadores, cigarrillos electrónicos, etc. Tampoco pienses que por usar tabaco de liar, o ciertas marcas de cigarrillos va a ser mejor. Ninguno de ellos hace bien a tu salud, incluso con riesgo de cáncer y otros problemas variados.
Si eres fumador, en cualquiera de las versiones disponibles, deberías plantearte dejarlo de inmediato antes de que sea tarde. Y si no lo haces por ti, hazlo al menos por los que te rodean, que también son fumadores pasivos y pagan las consecuencias de tus vicios. ¡Pásate a la vida sana! Los beneficios para tu cuerpo los notarás de inmediato…
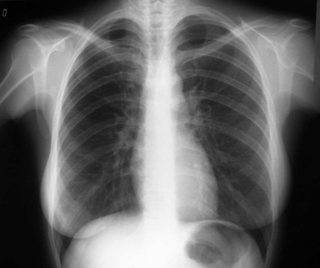
3Consecuencias para tu salud
Si fumas tabaco, ya sea en cigarrillos, puros, tabaco de mascar, o pipas, las consecuencias son las mismas. Si todos los aditivos citados en el apartado anterior no te han parecido suficientes para dejar de fumar, deberías conocer las consecuencias de cada uno de esos químicos para tu cuerpo.
Si fumas, lo que le sucede a tu cuerpo es lo siguiente:
Nicotina
Cuando inhalas el humo del tabaco, la nicotina se absorbe rápidamente, generando algunas reacciones químicas en tu cerebro. Se absorbe a través de la mucosa de la boca, así como los pulmones. Una vez pasa al sistema circulatorio se distribuye por todo el organismo, generando diferentes consecuencias en cada uno de tus órganos.
Al llegar al cerebro, se une a unos receptores llamados nicotínicos, produciendo un efecto placentero y agradable para el fumador. Eso es lo que lo hace adictivo, apareciendo una rápida dependencia y el síndrome de abstinencia (mono).
Pasados 20 segundos ya lo tendrás en todas las zonas regadas por los capilares en todo tu cuerpo. Algo que llama la atención, ya que ninguna otra droga llega tan rápido al sistema nervioso y riego.
Y aunque la nicotina se puede eliminar con la orina (o de la leche materna durante la lactancia, afectando también al lactante), para cuando se elimina ya ha causado problemas:
- Mayor tensión arterial y riesgo cardiovascular asociado.
- Incremento de la frecuencia cardíaca, con posibles taquicardias en algunos pacientes.
- Aumenta el azúcar en sangre (glucosa). Te hace más propensa a la diabetes.
- Fomenta el movimiento intestinal.
Teniendo en cuenta que cada cigarrillo tiene una dosis de entre 1-2 mg, da una idea de lo nociva que es la nicotina. De hecho, en dosis de 40-60 mg podría causar incluso la muerte por fallo respiratorio.
CO
El monóxido de carbono inhalado por el fumador hace que se reduzca la cantidad de oxígeno en el organismo. Y no solo eso, la combustión del tabaco genera este gas tóxico con consecuencias bastante malas para tejidos y órganos (entran en hipoxia).
Si esta hipoxia (falta de oxígeno) se produce en paredes arteriales, se puede favorecer la deposición de grasa en placas. Eso podría hacer que se corra mayor riesgo cardiovascular, genere angina de pecho, e incluso infarto de miocardio.
Y lo cierto es que la cantidad aportada por el humo de un cigarrillo es alarmante. Genera 400 ppm (partes por millón) de este gas CO. Eso es casi como el tráfico de las grandes ciudades cuando hay ausencia del viento o varias veces superior a CO presente en un aparcamiento ventilado (50-150 ppm).
Sustancias irritantes
Anteriormente cité las sustancias irritantes dentro de la composición química del tabaco. Estas sustancias pueden causar algunas consecuencias respiratorias como la EPOC (enfermedad pulmonar obstructiva crónica). Eso es bronquitis crónica y efisema pulmonar.
Además, incrementan la producción de moco que es difícil de expulsar, pudiendo causar tos típica del fumador o dificultad respiratoria. Esto se debe a la parálisis de las células ciliadas producidas por el tabaco. Ellas se encargan de movilizar el moco y las partículas pequeñas que entran en los pulmones, pero con ellas paralizadas no pueden…
En definitiva, el fumador notará:
- Tos crónica irritativa
- Expectoración
- Disminución de la capacidad pulmonar (temporal o irreversible)
- Mayor propensión a infecciones respiratorias y otorrinolaringólogas.
Cancerígenos
Entre las sustancias químicas también hay cancerígenos potenciales, como el cadmio, níquel, polonio, arsénico, formaldehido y alquitranes. No hay demasiado que decir al respecto.
Pueden causar cáncer, y no solo de pulmón. También pueden producir cáncer colorrectal, de riñón, de páncreas, de estómago, esófago, vejiga, laringe, y cavidad oral. Recuerda que el humo viaja por tus vías respiratorias y también pasa al torrente sanguíneo, repartiendo las sustancias por todo el organismo…



