El tema que nos ocupa hoy no es baladí; abordaremos una cuestión que concierne a nuestra salud bucodental: la inflamación de las encías. Este fenómeno, aunque común, puede ser una señal de alarma para problemas más serios como la gingivitis o la periodontitis, y por tanto, requiere de nuestra atención y cuidado.
Detallaremos las causas más comunes de esta inflamación, así como las medidas preventivas y opciones de tratamiento, siempre desde un enfoque basado en la evidencia y las recomendaciones de profesionales de la salud bucal.
CAUSAS DE LA INFLAMACIÓN GINGIVAL

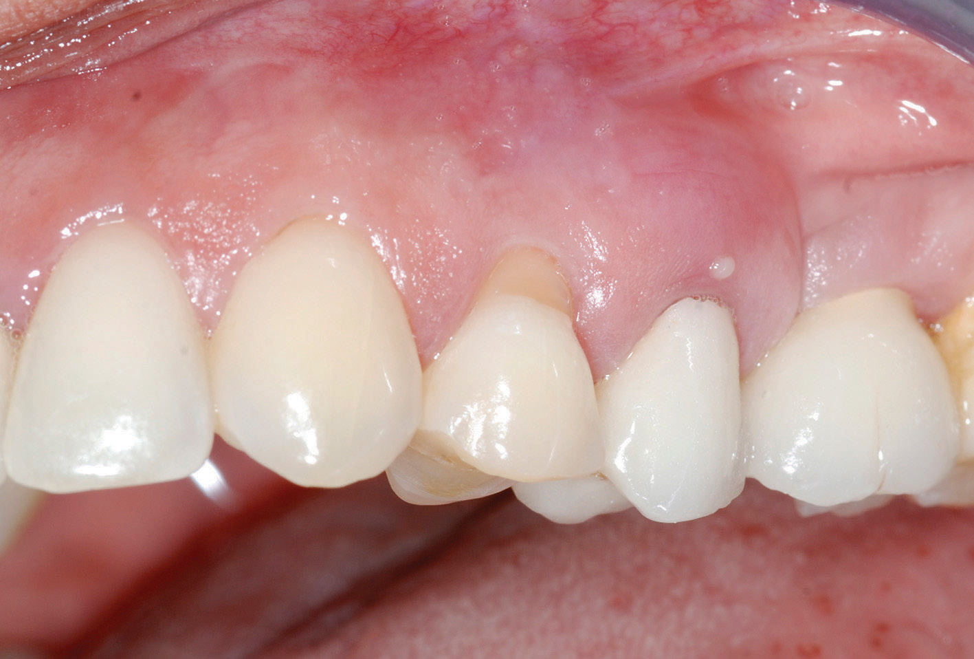
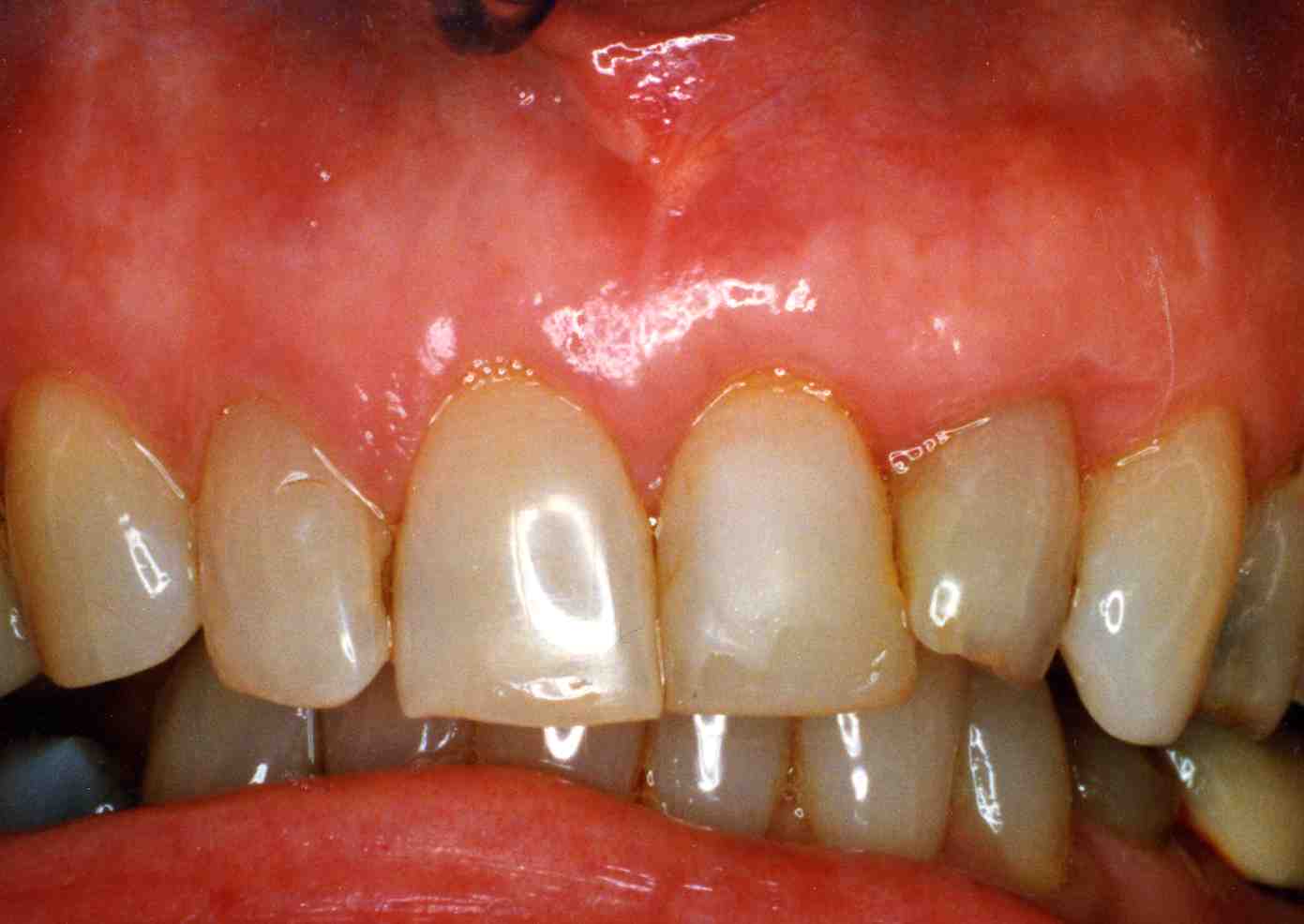
La salud bucodental es un indicativo de nuestro estado general de salud y bienestar. La inflamación de las encías, conocida también como gingivitis, puede ser originada por diversas causas. Entre las primordiales se encuentra la placa bacteriana, una película pegajosa compuesta principalmente por bacterias que se forma continuamente en la superficie de los dientes. Si la placa no se elimina adecuadamente, puede endurecerse hasta convertirse en sarro, complicando la inflamación.
Otro factor que puede propiciar la inflamación es una higiene bucal deficiente. El no cepillarse los dientes regularmente o de manera incorrecta, sumado al uso inadecuado del hilo dental, puede propiciar la acumulación de la placa y el desarrollo de infecciones en las encías. Además, el consumo de ciertos alimentos y bebidas, ricos en azúcar o ácidos, pueden crear un ambiente propicio para el crecimiento bacteriano.
Algunos hábitos como el tabaquismo o el alcoholismo también tienen su repercusión en la salud de las encías. Estos hábitos no solo afectan la capacidad de respuesta del sistema inmunitario sino que también pueden contribuir a la sequedad bucal, lo que disminuye la producción de saliva, un elemento natural clave en la limpieza de la boca.
No podemos obviar también el factor genético; algunas personas pueden tener una mayor predisposición a sufrir de problemas gingivales, independientemente de su régimen de higiene bucal. Además, ciertas enfermedades sistémicas como la diabetes, pueden hacer más susceptible a una persona a tener este tipo de inflamaciones, ya que afectan la capacidad del cuerpo para combatir las infecciones, incluidas las bucales.
MEDIDAS PREVENTIVAS
Prevenir siempre será mejor que curar, y en el caso de la inflamación de las encías esto se manifiesta en adoptar una rutina de higiene bucal rigurosa y adecuada. Esto incluye el cepillado dos veces al día durante dos minutos con una técnica correcta, el uso de hilo dental diario y el enjuague con colutorios recomendados por profesionales.
No menos importante es la elección de los instrumentos de higiene dental. Deben ser adecuados a nuestras necesidades específicas, por ejemplo cepillos con cerdas suaves o hilo dental especial si se tienen espacios interdentales amplios o aparatos ortodónticos. Además, los enjuagues bucales con agentes antibacterianos pueden ayudar a reducir la carga microbiana en la boca.
El control alimenticio es igualmente crucial. Una dieta balanceada, baja en azúcares refinados y rica en nutrientes, ayuda a fortalecer las encías y a prevenir la inflamación. También es recomendable minimizar el consumo de alimentos y bebidas que puedan dañar el esmalte dental o favorecer la proliferación bacteriana.
Visitas periódicas al dentista, al menos dos veces al año, son fundamentales para realizar limpiezas profesionales y para detectar cualquier signo temprano de enfermedad gingival. El profesional puede eliminar el sarro acumulado que no es posible remover con el cepillado y ofrecer orientación personalizada sobre cuidado dental.
TRATAMIENTO Y REMEDIOS

Cuando la prevención no ha sido suficiente y ya se padece de inflamación en las encías, es crucial actuar sin demora. El tratamiento más común y efectivo para la gingivitis es la limpieza profesional, que debe ser realizada por un dentista o un higienista dental. Dicha limpieza elimina la placa y el sarro incluso debajo de la línea de las encías, lo cual puede reducir significativamente la inflamación.
Para casos leves, se pueden considerar remedios caseros, siempre bajo la supervisión de un profesional. Enjuagues bucales con soluciones salinas o bicarbonato de sodio pueden ayudar a reducir la inflamación y la proliferación de bacterias de manera temporal. Sin embargo, estos remedios no deben sustituir el tratamiento médico si este es necesario.
El uso de medicamentos, como los antiinflamatorios o antibióticos, puede ser recomendado en situaciones más severas. Estos deben ser siempre prescritos por un profesional tras una evaluación detallada del caso. En último término, procedimientos quirúrgicos pueden ser contemplados para casos avanzados, como la periodontitis, en donde la estructura ósea puede estar comprometida.
La educación y el seguimiento son clave en el tratamiento. Los pacientes deben ser instruidos sobre las técnicas adecuadas de higiene bucal y sobre la importancia de la continuidad en los cuidados preventivos para evitar recurrencias. El compromiso a largo plazo con la salud bucodental es fundamental para mantener las encías saludables y prevenir futuras complicaciones.
INFLUENCIA DEL ESTILO DE VIDA EN LA SALUD GINGIVAL
Más allá de la higiene bucal y las visitas regulares al dentista, el estilo de vida desempeña un papel crucial en la salud de nuestras encías. El estrés, por ejemplo, está científicamente vinculado con problemas en la salud bucal, debido a que puede debilitar el sistema inmunológico y hacer que las encías sean más susceptibles a la infección. Una gestión adecuada del estrés, incluyendo técnicas de relajación y actividades físicas, es fundamental para el bienestar general, incluyendo el de nuestra boca.
Además, debemos prestar atención al impacto del sueño en nuestra salud bucodental. No dormir las horas recomendadas o tener un sueño de mala calidad puede incrementar la inflamación en el cuerpo y por ende en las encías. Es importante establecer una rutina de sueño regular que asegure el descanso necesario para que el cuerpo se recupere y regenere.
Las drogas recreativas, aunque a menudo olvidadas en discusiones de salud bucal, tienen un efecto perjudicial considerable en las encías. Sustancias como la marihuana, cocaína o metanfetaminas pueden llevar a la xerostomía (boca seca) o a un mayor consumo de azúcar y alimentos ácidos, exacerbando el riesgo de inflamación gingival. El abandono de estas sustancias es imperativo para mantener una boca sana.
El ejercicio regular, reconocido por sus beneficios generales para la salud, también tiene el potencial de mejorar la salud de las encías al reducir la inflamación en todo el cuerpo. La actividad física aumenta la eficiencia del sistema circulatorio y el flujo de nutrientes y oxígeno a los tejidos, incluidos los de la boca, favoreciendo así la salud periodontal.
ROL DE LA NUTRICIÓN EN LA PREVENCIÓN DE LA INFLAMACIÓN GINGIVAL

La nutrición juega un papel esencial en el mantenimiento de una buena salud bucodental. La vitamina C, por ejemplo, es conocida por su papel en la salud de las encías, ya que contribuye a la formación de colágeno y la reparación de los tejidos periodontales. Una deficiencia de esta vitamina puede llevar al escorbuto, una enfermedad que afecta gravemente las encías y la dentadura.
El calcio y la vitamina D son igualmente importantes, ya que el primero fortalece los huesos y dientes, y la segunda ayuda a la absorción del calcio. Un consumo adecuado de alimentos ricos en estos nutrientes es importante para la fortaleza de la estructura que soporta los dientes. Alimentos como el queso, el yogur y los vegetales de hojas verdes son excelentes fuentes de estos nutrientes.
Los antioxidantes son sustancias que pueden proteger las células contra los daños causados por los radicales libres, y su consumo es beneficioso para prevenir inflamaciones, inclusivamente en las encías. Frutas y verduras, así como tés, son una importante fuente de antioxidantes naturales que pueden beneficiar la salud de las encías.
Además de los nutrientes individuales, el patrón global de dieta es relevante. Una dieta mediterránea, por ejemplo, rica en frutas, verduras, aceite de oliva y pescado, se ha asociado con una menor incidencia de enfermedad periodontal, gracias a sus propiedades antiinflamatorias.
AVANCES TECNOLÓGICOS EN LA DETECCIÓN Y TRATAMIENTO DE LA INFLAMACIÓN GINGIVAL
En la era digital actual, la tecnología tiene un papel cada vez más destacado en el campo de la odontología y, por extensión, en la gestión de la inflamación de las encías. Los escáneres 3D, por ejemplo, permiten a los dentistas obtener imágenes detalladas de la cavidad oral, facilitando la detección precoz de los problemas periodontales.
La teleodontología es otro campo emergente que posibilita consultas virtuales y seguimientos a distancia, una innovación especialmente útil para personas con dificultades para desplazarse a la clínica dental. Esto ayuda a mantener una vigilancia regular de la salud bucal y a recibir consejos de expertos sin tener que abandonar el hogar.
El desarrollo de nuevos biomateriales y técnicas quirúrgicas también ha revolucionado el tratamiento de enfermedades gingivales graves. Materiales como los membranas biocompatibles se utilizan para favorecer la regeneración de tejidos dañados, mientras que técnicas como la regeneración tisular guiada (RTG) permiten recuperar tejido perdido y restaurar la funcionalidad de la boca.
Finalmente, la periodontics, una rama especializada dentro de la odontología dedicada a la prevención, diagnóstico y tratamiento de enfermedades periodontales, ha beneficiado de todas estas innovaciones para ofrecer cuidado más personalizado y efectivo para los pacientes.
En resumen, la salud de nuestras encías es una parte integral de nuestra salud general y requiere una atención comprensiva que abarque desde prácticas de higiene hasta la gestión de nuestro estilo de vida. Con las herramientas adecuadas y un enfoque proactivo, es posible tener una boca sana libre de inflamación gingival.





