Es posible que desees pensarlo dos veces antes de retrasar tu chequeo dental.
Un chequeo regular de salud oral y dental realizado por un buen dentista puede hacer mucho más por ti que solo tener los dientes limpios y comprobar las caries.
Los investigadores dicen que también puede ayudar a identificar los primeros signos de enfermedades antes de que incluso puedas notar los síntomas.
«Los pacientes con diabetes, leucemia e inmunodeficiencia exhibirán señales orales [de la enfermedad]. Nico Geurs, DDS, presidente de la Universidad de Alabama en el Departamento de Periodoncia de Birmingham, y director de la Clínica de Bienestar Odontológico de la UAB, dijo: «Muchas veces, estos son los primeros signos externos de la enfermedad y un ojo agudo podría facilitar el diagnóstico«.
La salud bucal no está separada de salud general «, agregó. «Los mismos mecanismos de inflamación e infección existen dentro de la boca como lo hacen en el resto del cuerpo. La boca, sin embargo, presenta una oportunidad única en la formación de biofilms.»

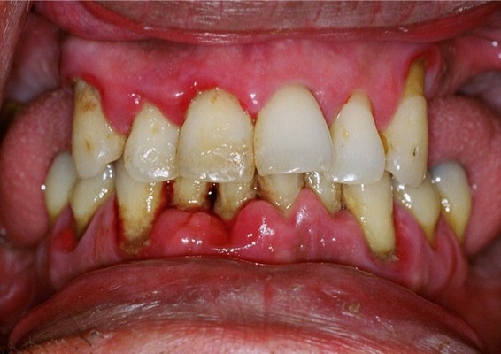
Biofilms en los dientes
Los biofilms se forman cuando las bacterias se adhieren a las superficies en un ambiente húmedo y luego comienzan a excretar una sustancia pegajosa.
La boca presenta un ambiente que es perfecto para el crecimiento bacteriano, y el diente proporciona una estructura dura a la cual las bacterias pueden adherirse para la creación de biofilms.
El cuerpo responde a la presencia de demasiadas bacterias por a través de la inflamación. La inflamación de las encías, conocida como gingivitis, es tal respuesta.
Sin este tipo de defensa, una persona podría morir debido a las bacterias en el biofilm.
«Las bacterias pueden entrar en el cuerpo a través de la migración en el tejido, pero también cuando se produce un traumatismo. Esto puede ocurrir cuando se inflama a través de cepillado de dientes o hilo dental o incluso al masticar. Cada vez que sus encías sangran mientras se cepilla puede imaginar que ocurre este tipo de traumatismo», dijo Geurs.
Signos de enfermedad en otros lugares
Además de ser un marcador de enfermedades bucales, los síntomas en la boca pueden ser indicativos de enfermedades en otras partes del cuerpo.
Sheila Brear, BDS, profesora de la Facultad de Odontología de la Universidad de California en San Francisco (UCSF), dijo a que la ulceración severa y recurrente en la boca puede estar relacionada con la colitis ulcerosa o la enfermedad de Crohn.
La candidiasis oral (producida por la Candida albicans) se puede vincular a una serie de condiciones como el VIH.

La enfermedad severa de las encías puede a veces ser una indicación de que alguien tiene diabetes.
La erosión o corrosión de los dientes se puede asociar con el reflujo y las encías hinchadas sangran fácilmente, algo que se puede ver en las personas con leucemia.
Además, las enfermedades y trastornos de la boca pueden afectar la salud general del cuerpo.
«Un ejemplo sería una muela del juicio infectada que permanece impactada y puede resultar en una infección importante, y en casos extremos, la muerte«, dijo Brear.
«Otro ejemplo sería una periodontitis [una infección e inflamación que tiene lugar en la encía y el hueso alrededor de los dientes]. La infección puede propagarse localmente a las mandíbulas«, añadió Brear. «Los efectos de la inflamación y la infección también pueden afectar a sitios distantes, por ejemplo, el corazón, las articulaciones o un feto, en el caso de una mujer embarazada«.
La importancia de la salud dental
Según la American Dental Association (ADA), 100 millones de estadounidenses no visitan al dentista cada año. La ADA aconseja visitas regulares al dentista, aunque el número exacto variará de paciente a paciente.
Brear explicó que algunas personas, como aquellas con boca seca, corren mayor riesgo de desarrollar caries.
Esas personas pueden necesitar visitar a su dentista cuatro veces al año. Otros sólo tienen que visitar una o dos veces al año.
Incluso si usted no tiene ninguna molestia en su boca o síntomas perceptibles, Brear dijo que es importante aun así ver a un dentista.
«En cada examen dental, hay una oportunidad para que el dentista examine la mucosa oral, la lengua y otras estructuras en la boca para descartar signos de cáncer oral, infección y otras enfermedades o trastornos «, dijo.

Leon Assael, DMD, director de educación y práctica comunitaria en la Escuela de Odontología de la UCSF, dijo que es crucial no esperar al dolor antes de visitar a un dentista.
«Casi todas las enfermedades bucales no causan ningún dolor hasta que están bastante avanzadas«, afirmó Assael. «Eso incluye caries dentales, enfermedad periodontal y cáncer oral. El cáncer oral es más frecuente que otros cánceres comunes como el cáncer del cuello uterino. Debido a un diagnóstico tardío, alrededor de la mitad de los casi 50.000 pacientes diagnosticados cada año en los Estados Unidos morirán de su enfermedad. Solo existe una manera positiva para cambiar este resultado devastador, y es con el examen físico anual de la cavidad bucal, cabeza y cuello, como se realiza en el dentista.»



