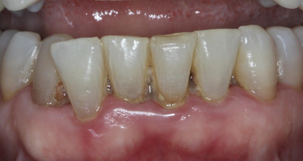
El sarro es una de los principales impedimentos para tener una sonrisa bonita. Son muchas las personas que, por tanto, para tener el mejor aspecto posible tratan por todos los medios eliminarlo tanto de la superficie de sus dientes como del interior de sus encías. Por eso es tan frecuente la visita a los dentistas para poder eliminarlo. Pero, ¿sabías que te puedes ahorrar esta visita y no gastarte el dineral que cuesta y quitártelo tú misma en tu propia casa? Precisamente en este artículo queremos explicarte cómo tienes que hacerlo. Así que sigue leyendo si quieres enterarte porque te lo contamos todo a continuación.
Últimas Noticias
- Noticias Merca2:
- Noticias Merca2:
Cecilia Ce, psicóloga y sexóloga clínica: “El estr... ETFs de Bitcoin y Ethereum captan 731 millones en ... Cambio en las retenciones del SEPE para no pagar e... Rusia gana la guerra: petróleo a 104 dólares dispa... CryptoQuant alerta: el rally de Bitcoin fue pura e... Hacienda exime del IRPF las ayudas de la DANA a au... Morgan Stanley: el boom tech tapa la guerra de Irá... Ethereum triplicará su capacidad con Glamsterdam: ... Adrián Sáenz revela cómo monetizar una comunidad S... Ni salmón ni bacalao, porque estos cinco pescados ... La IA entra en fase industrial: Anthropic, Blackst... Prestigiosos economistas publican un estudio que a... Renta jubilados 2025: plazo hasta el 30 de junio p... Cuándo se cobra la pensión de mayo 2026: fechas po... Strategy frena la compra de Bitcoin antes de su Q1... España dispara 35% sus centros de datos y reta al ... BlackRock planta cara a la Ley GENIUS sobre stable... El pueblo de España con solo 30 vecinos que tiene ... China ordena ignorar sanciones de EEUU y atrapa a ... La jugada maestra de Pekín: Cómo los aranceles de ...



