Hoy tenemos muchas razones para celebrar el próximo Día de las Madres, pero entre ellas destacan especialmente las innovaciones médicas que han permitido vencer la infertilidad a muchas mujeres y las maternidades no tradicionales de los tiempos que corren. Ambas han crecido en España en forma significativa en los últimos años. Y partiendo de esta premisa Merca2 ha entrevistado hoy a la doctora Marina González, responsable de Ginemed Bilbao, para ponernos al día en esta materia.
Con ella hablamos de todo un poco, desde la Inseminación Artificial (IA), la Fecundación In Vitro (FIV), la Ovodonación, la Doble Donación y la Embrioadopción, hasta la Recepción de Óvulos de Pareja (ROPA)2.
Según la Sociedad Española de Fertilidad, la esterilidad afecta al 15% de la población en edad reproductiva de los países occidentales, es decir, a 1 de cada 6 parejas
Esta tendencia, además, experimenta una evolución creciente. Sin embargo, el evidente descenso de la tasa de fertilidad no disminuye el deseo y el sueño que tienen varias mujeres de ser madres.
Gracias al avance tecnológico y científico en el ámbito de la salud, las mujeres pueden recurrir hoy en día a la Medicina Reproductiva con el fin de conseguir su esperado embarazo. Incluso, pueden evitar transmitir a sus descendientes enfermedades genéticas, como en el caso de la hemofilia.
Todas estas técnicas se ajustan a diversas situaciones y escenarios, y persiguen el mismo objetivo: ofrecer la posibilidad de ser madre a una mujer que no puede conseguirlo de manera natural.

MATERNIDAD VÍA PGT, IA Y FIV
¿Cuáles son los principales avances tecnológicos y científicos en el ámbito de la Medicina Reproductiva que se están aplicando en España hoy para ayudar a las mujeres con dificultades para resolver sus problemas de infertilidad?
La Reproducción Asistida es una especialidad médica muy dinámica en la que constantemente aplicamos nuevas técnicas con el fin de mejorar las probabilidades de embarazo de nuestras pacientes. En los últimos años ha habido un importante avance en la aplicación de la genética en la reproducción asistida, con la mejora de las técnicas, como el Test Genético Preimplantacional (PGT) y la posibilidad de realizar Test de Compatibilidad Genética (Matching Genético o TCG) a los progenitores.
Por otro lado, desde hace algunos años contamos con incubadores de cultivo embrionario time-lapse y la vitrificación de óvulos y embriones. Estos podrían ser algunos de los cambios más determinantes en los tratamientos de fertilidad.
¿Podría darme detalles de los tratamientos de reproducción asistida que se practican en España y el mundo en la actualidad?
Claro, vayamos caso por caso:
Inseminación Artificial (IA)
La Inseminación Artificial (IA) consiste en depositar dentro del útero una muestra de semen previamente preparada en el laboratorio de reproducción asistida. Puede tratarse de semen de la pareja (conyugal) o de un banco de semen (donante). Previamente, debemos realizar unos controles ecográficos a la mujer para confirmar el momento de la ovulación y prescribir medicación en caso de ser necesario.
A menudo, las pacientes que se someten a una IA para ser madres son mujeres sin pareja o parejas de mujeres
En el caso de las parejas heterosexuales, debemos confirmar que la muestra de semen cumple unos requisitos mínimos de calidad, evaluados según los criterios de la Organización Mundial de la Salud (OMS) para poder realizar la IA.
Fecundación In Vitro (FIV)
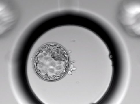
La Fecundación in vitro (FIV) es un procedimiento en el que la fecundación del óvulo tiene lugar en el laboratorio. Posteriormente, los embriones permanecen en un incubador entre 3 y 5 días, hasta transferirlos dentro del útero materno o vitrificarlos (congelarlos).
La FIV comienza habitualmente a partir de la regla. En una primera fase, realizamos la estimulación ovárica con medicación subcutánea y hacemos controles ecográficos para confirmar la buena evolución del proceso.
Tras aproximadamente diez días de estimulación, desencadenamos la ovulación y, 36 horas más tarde, realizamos la extracción de los óvulos (punción ovárica) bajo sedación y con control ecográfico.
A partir de ese día comienza el trabajo en el laboratorio con la fecundación de los óvulos. Cuando los embriones llegan a la fase de blastocisto (día +5 de desarrollo embrionario), pueden ser transferidos, vitrificados o biopsiados para estudio genético, según el caso.
MATERNIDAD NO TRADICIONAL
¿Qué novedades nos puede contar sobre la ovodonación y la dobledonación?
La ovodonación es un tratamiento de FIV con óvulos de donante. Los embriones así conseguidos se depositan en el interior del útero a fin de que implanten y den lugar a un embarazo.
La principal ventaja de la ovodonación es la elevada tasa de éxito, que tiene que ver con la edad de las donantes (18-35 años según la Ley española)
Es un tratamiento indicado en aquellas mujeres que ya no pueden plantearse realizar un tratamiento de FIV con sus óvulos debido a edad avanzada, menopausia temprana, patología ovárica como por ejemplo la endometriosis….
La doble donación sigue el mismo proceso que la ovodonación, pero añadiendo la donación de semen, ya sea porque no hay pareja masculina (familias monoparentales y familias homoparentales) o por indicación médica debido a factor masculino severo.
En ambos casos, la selección de los donantes, completamente anónima, se hace teniendo en cuenta los grupos sanguíneos y características físicas de la pareja.
¿Y de la embrioadopción y los procesos de maternidad compartida qué nos puede adelantar?
La adopción de embriones (ADE) o embriodonación consiste en la realización de una transferencia embrionaria, tras la preparación endometrial, de un embrión que previamente ha sido donado por otros pacientes que ya han visto cumplido su deseo de concebir. Los embriones deben cumplir unos requisitos para poder ser utilizados.
También está el método ROPA (Recepción de Óvulos de Pareja), una técnica que permite a las parejas de mujeres realizar un proceso de maternidad compartida:
• Una de las mujeres realizará la primera parte del proceso: estimulación ovárica y punción folicular.
• La otra mujer será la receptora de los embriones generados en el laboratorio a partir de los óvulos de su mujer y de semen de donante.
De esta forma, una de las mujeres pone la carga genética y la otra lleva a cabo el embarazo y el parto.
SER MADRE DESPUÉS DE LOS 40
¿La infertilidad es una condición que afecta principalmente a qué mujeres en España?
La mayoría de las parejas heterosexuales que acuden a una clínica de fertilidad presentan un Factor Mixto y no una única causa de infertilidad de origen femenino o masculino. La edad es el principal factor del aumento de los problemas de fertilidad, sobre todo en las mujeres.
Hoy en día es muy habitual encontrar mujeres que desear ser madres después de los 40 años, lo que en sí mismo ya es un factor que condiciona las posibilidades de conseguir un embarazo con óvulos propios
¿Qué otros avances tecnológicos y científicos en Medicina Reproductiva se esperan para los próximos años?
Ya existen líneas de investigación sobre la posibilidad de aplicar técnicas de genética preimplantacional no invasivas para el embrión, con una elevada fiabilidad en los resultados.
Asimismo, es probable que se aplique la inteligencia artificial en la selección embrionaria que se va a transferir al útero materno tras la realización de una Fecundación in vitro. En Medicina Reproductiva intentamos mejorar las técnicas de selección de los embriones para mejorar las tasas de éxito en cada tratamiento.
¿CÓMO EVITAN LA TRANSMISIÓN DE LA HEMOFILIA?
A través de la reproducción asistida ya se puede evitar la transmisión genética de la hemofilia de las madres a los hijos varones.
Una madre portadora de hemofilia tiene un 50% de posibilidades de que un hijo padezca la enfermedad (afecto) y un 50% de que una hija sea portadora del gen. Para prevenir la transmisión de la hemofilia, la pareja tiene que recurrir a la reproducción asistida para ser padres y realizar un ciclo de Fecundación in vitro (FIV-ICSI) con Test Genético Preimplantacional (PGT).
LA TRANSMISIÓN DE LA HEMOFILIA SUELE PRODUCIRSE DE MADRES A HIJOS VARONES, ACLARA GINEMED
La hemofilia es una alteración congénita de origen genético en la coagulación de la sangre que afecta a 1 de cada 10.000 nacimientos en España. Uno de los aspectos que produce mayor preocupación en los pacientes que padecen hemofilia es su carácter hereditario.
La enfermedad se caracteriza principalmente por manifestaciones hemorrágicas espontáneas o por un sangrado excesivo cuando se produce algún tipo de traumatismo. El trastorno es causado por un defecto en los factores de coagulación. La sangre contiene diferentes proteínas que intervienen en la coagulación sanguínea y cumplen la función de detener las hemorragias.
En las personas con hemofilia, la sangre no coagula de manera adecuada debido al déficit de dichas proteínas. Algunas madres llegan al embarazo sin conocer su condición de portadoras de esta enfermedad rara, ya que las portadoras no presentan síntomas, explica Laura Aguilera, embrióloga y bióloga del Laboratorio Ginemed.
«Gracias a la combinación de técnicas de reproducción asistida y técnicas de laboratorio, es posible conocer qué embriones son afectos, portadores y sanos. De esta manera, se puede transferir al útero materno los embriones no afectos de hemofilia», asegura Aguilera.





