En el marco del mes dedicado a crear conciencia sobre el aneurisma cerebral, el Dr. Rodolfo Alcedo, neurocirujano endovascular, habló con una claridad que se agradece cuando se trata de temas tan delicados. Su manera de explicar esta condición —silenciosa, pero con un potencial devastador si no se detecta a tiempo— combina rigor médico con imágenes tan cotidianas que cualquiera puede entenderlas.
Una condición más común de lo que pensamos

Para poner el tema en perspectiva, el Dr. Alcedo empieza con un dato que, según él, deja a la mayoría de sus pacientes en silencio:
“Una de cada 50 personas están por ahí caminando y tienen un aneurisma”, comenta.
Es decir, podríamos cruzarnos con varias personas al día que ni siquiera saben que lo tienen.
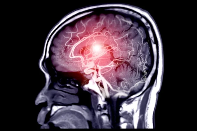
Luego describe el aneurisma con una imagen casi doméstica —y muy gráfica— que utiliza con sus pacientes:
“Es como cuando usas una manguera de regar plantas y te sale un huevucho por al lado. Eso es un aneurisma”.
Esa “debilidad” en la pared de una arteria puede permanecer estable durante años… o romperse de repente. Y cuando eso ocurre, el cuerpo lo anuncia con el que muchos describen como el peor dolor de cabeza de sus vidas.
La ruptura: un evento súbito y, con frecuencia, mortal

Aquí el doctor se pone serio. La mortalidad tras una ruptura es sorprendentemente alta.
“Cerca del 40% no sobreviven la ruptura, no llegan al hospital”, explica.
Es decir, casi la mitad fallece antes de recibir asistencia médica.
Entre quienes sí alcanzan el hospital, el panorama se divide en tres posibilidades:
- Un tercio logra recuperarse por completo, algo que siempre da esperanza.
- Otro tercio sobrevive, pero con secuelas neurológicas, fruto del sangrado y del vasoespasmo, ese mecanismo defensivo en el que las arterias se estrechan para frenar el sangrado… aunque a veces terminan dañando más.
- El tercio restante llega en coma o en un estado tan crítico que, incluso con todos los esfuerzos del equipo médico, no logra sobrevivir.
Como él mismo dice, algunos “no viven para contarlo”.
Cuando el aneurisma no se rompe: manejar el miedo y el criterio

Muchos aneurismas se descubren “por casualidad”: una resonancia por un dolor intenso, un estudio por otro motivo… y ahí aparece. La reacción más común es el pánico.
El Dr. Alcedo lo narra así:
“Llegan superasustados: ‘me voy a morir, tengo una bomba en la cabeza’… y no necesariamente”.
No todos los aneurismas requieren intervención inmediata. De hecho, para los más pequeños, el riesgo de ruptura es muy bajo:
“Si tienes un aneurisma de 1 mm, las probabilidades de ruptura son ínfimas. Es más probable que tengas un accidente en la Valdoriotti”, dice, usando un ejemplo muy cercano para tranquilizar.
La clave, insiste, es valorar si intervenir ofrece más beneficio que dejarlo vigilado:
“La idea de cualquier procedimiento es ganarle a la historia natural de la enfermedad”.
Más herramientas, mejores decisiones
El Dr. Alcedo destaca la importancia de contar con varias técnicas: cirugía abierta, procedimientos endovasculares, coils metálicos, stents, dispositivos intrasaculares y flow diverters, entre otros.
Esta variedad no es un lujo; es la forma de personalizar el tratamiento.
Él lo resume con una metáfora muy suya:
“Si tu única herramienta es el martillo, todo tiene cara de clavo. Pero cuando tienes distintas opciones, puedes tener conversaciones profundas con el paciente y decidir juntos cuál es el mejor fit para él”.
Muchos de estos dispositivos, además, son compatibles con resonancia magnética, lo que permite un seguimiento más seguro en el tiempo.
¿Quiénes deben hacerse estudios?
El especialista recomienda realizar neuroimágenes en casos como:
- Tener dos familiares de primer grado con aneurismas.
- Presentar síntomas de neuropatía craneal, como caída del párpado o debilidad facial.
- Experimentar el peor dolor de cabeza de la vida, una señal que, recalca, nunca debe tomarse a la ligera.
El cierre del Dr. Alcedo es tan directo como humano:
“No duden en pedir neuroimágenes cuando el paciente describe ese dolor. Puede salvar una vida.”









