La silicosis es una enfermedad que no tiene solución y que deja secuelas complicadas a aquellos empleados que una vez trabajaron en Cosentino cortando sílice de aglomerado de cuarzo. Médicos, radiografías, TAC y psicólogos solo son una parte del sufrimiento que tienen los enfermos de silicosis.
MERCA2 ha conseguido hablar con dos extrabajadores de la empresa, ya que el resto de enfermos de silicosis no quieren hacerlo y prefieren mantenerse al margen por miedo a que Cosentino realice una persecución y les ‘obligue’ a irse de Andalucía y que la empresa presione a otras compañías de la Comunidad Autónoma de Andalucía para que no les contraten, según extrabajadores consultados por este medio.
Según denuncian los trabajadores, la empresa estaría implementado un servicio de cámaras de vigilancia en diferentes ángulos, un servicio que ya han usado para amenazar a un joven que acaba de ser detectado de silicosis dentro de la compañía, y que en algún momento se quitó la mascarilla para limpiarse el sudor y Cosentino ha usado esas imágenes para amenazarlo y que no les denuncie.
«Hay un dicho que tiene el presidente de la Compañía, Francisco Martínez Cosentino, que dice que se arruinó tres veces y a día de hoy es un gran empresario. Nuestro dicho es que él nos enfermó una vez y no pudimos recuperar nunca nuestras vidas», señala a MERCA2 José Humberto, extrabajador de Cosentino.

COSENTINO: INCAPAZ DE DETECTAR LA SILICOSIS EN SU PLANTILLA
Tos, cansancio, falta de respiración, entre otros, son los síntomas que empezaron a tener algunos de los trabajadores de Cosentino antes de ser diagnosticados de silicosis. Muchos de estos trabajadores tuvieron que detectar ellos mismos que estaban enfermos a raíz de ir sintiendo los diferentes síntomas que hemos nombrado. «A mí me importa ver que mi marido no puede con las cuestas ni con las escaleras. Vivimos en un dúplex y en mitad de las escaleras se para porque no puede. Nos estamos replanteando cambiar de vivienda, pero solo con mi sueldo no podemos», señala la mujer de un extrabajador.
«Cuando a mi marido le diagnosticaron la enfermedad fue un mazazo. Empezó por un proceso de depresión, tuvo que ir a un psiquiatra y se tuvo que medicar. Ves que una persona alegre no quiere salir de su casa y cambia radicalmente su carácter», explica la mujer de un exempleado de Cosentino a MERCA2. Su marido lleva cuatro años esperando a que llegue el juicio para que le reconozcan que es una enfermedad profesional y se pueda jubilar.
LA SILICOSIS ES UNA ENFERMEDAD PROGRESIVA QUE CADA VEZ VA A MÁS PARA EL ENFERMO
El marido de esta mujer actualmente cuenta con una máquina respiratoria para que pueda dormir por la noche y los médicos están valorando el hecho de ponerle una mochila respiratoria para el día a día. Además, cuando estuvo trabajando en Cosentino el único material que le protegía del polvo de sílice era una mascarilla FP2, de las de papel.
«Nos hicimos estudios por fuera de la empresa, en un centrado privado y después derivándonos a un hospital público. En mi caso, me lo detectaron en el hospital Puerta del Mar (Cádiz), que hoy en día es un centro de referencia de la silicosis por el proceso investigativo que tiene el servicio de neumología», explica Humberto.
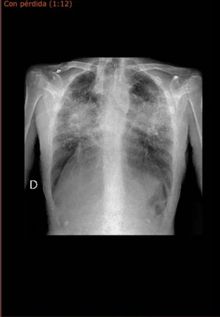
«EN EL TAC SALEN UNA GRAN CANTIDAD DE NÓDULOS MILIMÉTRICOS, Y EL MÁS GRANDE, EN MI CASO TIENE 6,5 MILÍMETROS»
José Humberto, extrabajador de Cosentino
En cuanto a los médicos, principalmente se basan en los test que al enfermo le realizan. En este sentido, en una radiografía no se nota claramente hasta que el nódulo es grande. En cambio, en un TAC salen los nódulos milimétricos y la morfología que tienen dichos nódulos. «A mí ya me habían realizado, aparte de un TAC por la mutua privada donde me habían salido nódulos, cuando paso al hospital público me realizan dos TAC más, y me salen una gran cantidad de nódulos milimétricos y el más grande que tiene 6,5 milímetros. Entonces, me diagnosticaron que tenía una silicosis crónica simple», señala José Humberto a MERCA2.
Cuando nos referimos a qué la empresa es incapaz de detectar que hay trabajadores enfermos de silicosis, no es una simple coincidencia. Fuentes conocedoras de la situación en Cosentino explican a MERCA2 que en el radio comarcal de la empresa los médicos se encuentran condicionados a firmar un informe que diga que ese paciente tiene silicosis.
«. Es decir, si al trabajador no le dices que tiene silicosis, se le despide y ya está; es un enfermo menos. Pero, si el trabajador se sienta frente a recursos humanos y le dice, mira, tengo un informe de un hospital público, de un servicio privado en el cual dice que tengo silicosis, ahí se le complica la cosa a Cosentino», explica el extrabajador de la compañía.

Cuando fue al Hospital y le dijeron que tenía silicosis, José Humberto, extrabajador de Cosentino, ya se encontraba con una baja por depresión por todos los síntomas previos antes de ser informado que estaba enfermo. «Cuando se terminó la baja, me presenté en la empresa y les presenté los informes que yo tenía con el diagnóstico, la empresa procedió al despido, un despido improcedente. En Cosentino recurrieron a acciones con las que justificar el despido y me dijeron que no tenían reubicación para mí. Ellos me querían fuera de la empresa, ya que yo estaba hablando y denunciando la situación», certifica el ex-empleado.
LA ‘LUCHA’ PSICOLÓGICA DE LOS ENFERMOS DE SILICOSIS
El caso es que estos trabajadores con silicosis tienen una gran cantidad de nódulos en sus pulmones y no saben en qué momento esos nódulos se van a despertar, porque estamos hablando de un agente cancerígeno que se puede despertar y seguir comiendo las células, y posteriormente transformarse en cáncer.«Lo más difícil de esta enfermedad es poderlo llevar psicológicamente. ¿Qué otra empresa te va a contratar cuando saben que tú ya estás enfermo?», añade Humberto.
Actualmente, José, cuando se despierta por la mañana, se levanta con mucha tos y con flemas, hasta que va cogiendo ritmo del día. Otra de las consecuencias de tener silicosis es que le cuesta subir escaleras y calles con mucha pendiente por qué se encuentra sin aire. La única ‘solución’ para reducir un poco los síntomas y que vayan a menos es un inhalador, «pero en realidad, es una enfermedad incurable, en otros casos ha avanzado mucho y la única opción que hay es un trasplante de pulmón para poder intentar seguir viviendo», certifica Humberto.
«Si hablamos de la enfermedad, te dicen que no tiene cura, que no tiene tratamiento. Eso es progresivo; ajo y agua, a joderse y aguantarse. Mi marido tiene que hacerse revisiones cada seis meses y ha estado dos años y medio sin revisión porque solamente había un neumólogo en el hospital, para toda la comarca de Levante», explica la mujer del extrabajador.

En este contexto, la repercusión de esta enfermedad no solo afecta al paciente, también a los familiares. «Esto es muy duro, porque tú vas viendo cómo va empeorando; pero sí, la peor parte se la lleva el enfermo porque se da cuenta de sus propias limitaciones y de vez en cuando le da la ‘neura’ del ‘y si me voy a morir pronto; que sí a mí para lo que me queda de vida’… entonces nosotros intentamos que esté ocupado, que su cabeza piense en otras cosas e intentamos sobrellevarlo lo mejor que podemos», certifica la mujer.
Mientras redactamos este artículo, el martes 17 de septiembre, por la mañana, falleció Ismael Aragón, presidente de ANAES, que había recibido un trasplante de ambos pulmones hace18 días y ya no pudo salir del hospital. «Indudablemente es una pérdida muy grande e irreparable. Habrá que seguir luchando para que la vida de Ismael no quede en la nada, y su lucha la podamos continuar», señala José Humberto, muy afectado por el fallecimiento de su compañero.
«El único camino que queda aquí es prohibir el producto. El dinero de Cosentino está manchado con la sangre y con la vida de gente que deja a sus familias, niños; y no hay dinero que pague la vida. Por más que contraten al equipo jurídico de Iberdrola, la realidad les golpea cuando se va un compañero enfermo de silicosis», cierra Humberto, muy afectado y con voz quebrada.





