En un mundo donde el sobrepeso y la obesidad son preocupaciones crecientes para la salud pública, la ciencia ha estado buscando incansablemente maneras de combatir estos problemas de manera efectiva. Entre los descubrimientos más intrigantes de los últimos años se encuentra el de la grasa parda, un tipo especial de tejido adiposo que ha capturado la atención de investigadores y entusiastas de la salud por igual. A diferencia de la grasa blanca, conocida por almacenar calorías y contribuir al aumento de peso, la grasa parda desempeña un papel completamente diferente y potencialmente beneficioso en nuestro metabolismo.
La grasa parda, también conocida como tejido adiposo marrón, tiene la capacidad única de quemar calorías en lugar de almacenarlas, generando calor para ayudar a mantener la temperatura corporal en ambientes fríos. Este descubrimiento ha abierto nuevas vías de investigación sobre cómo podemos aprovechar las propiedades de la grasa parda para fomentar la pérdida de peso y mejorar la salud metabólica. A continuación, exploraremos este fascinante tema en detalle, desvelando cómo funciona la grasa parda, su papel en el control del peso y las estrategias emergentes para activar y aumentar su presencia en el cuerpo.
¿QUÉ ES LA GRASA PARDA?

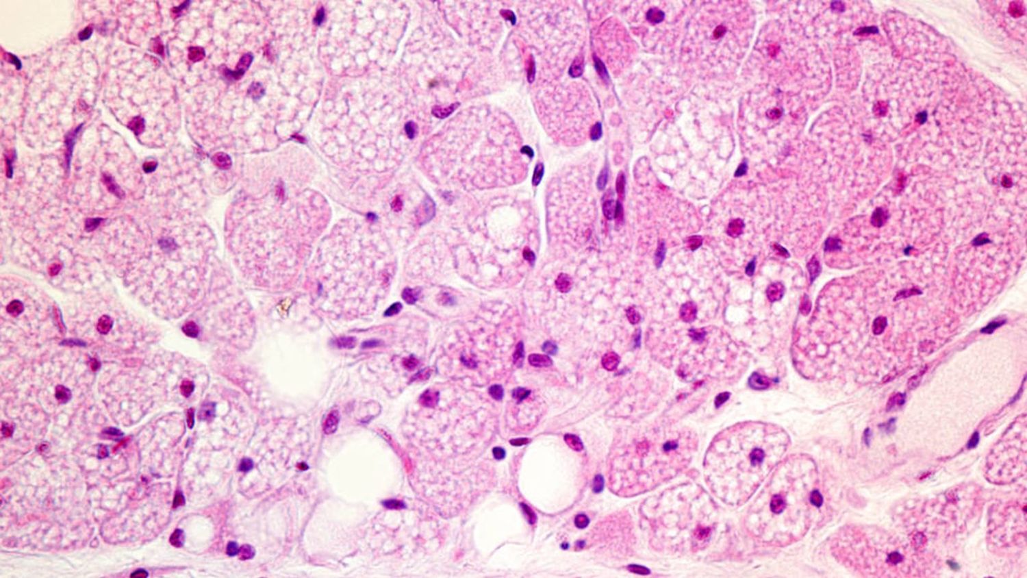
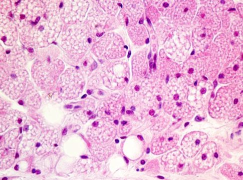
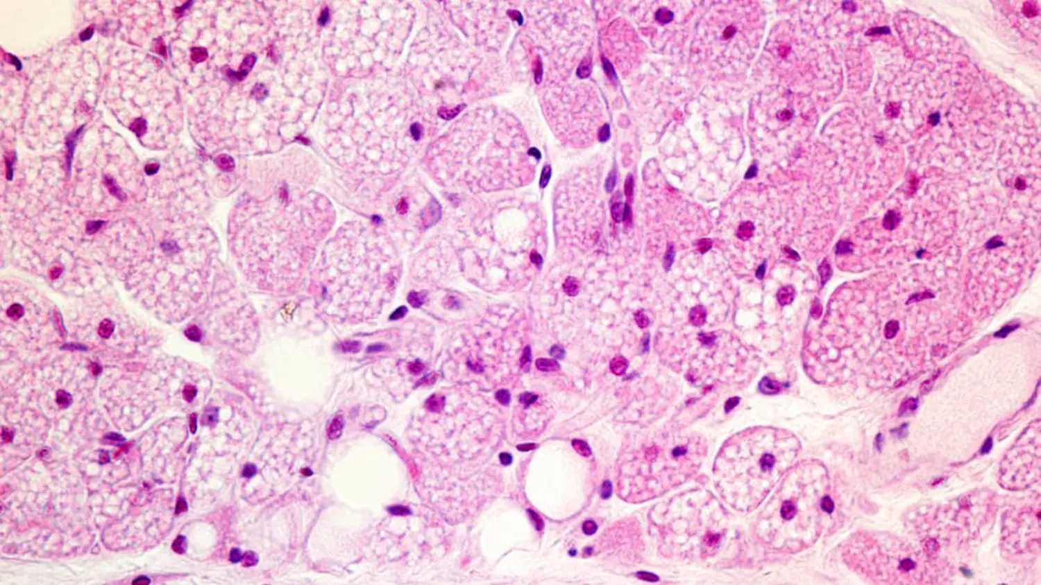
La grasa parda es un tipo de tejido adiposo presente en los mamíferos, incluidos los humanos, que actúa como un sistema de calefacción interna. A diferencia de la grasa blanca, que almacena energía en forma de triglicéridos, la grasa parda quema energía para producir calor, un proceso conocido como termogénesis. Este tipo de grasa se encuentra en mayor cantidad en los recién nacidos y tiende a disminuir con la edad, aunque los adultos aún retienen pequeñas cantidades, especialmente en áreas alrededor del cuello y los hombros.
Los investigadores han demostrado que la grasa parda está compuesta por células con una alta cantidad de mitocondrias, los «motores» de las células que generan energía. Estas mitocondrias contienen una proteína única, la termogenina, que permite a la grasa parda convertir la energía alimentaria directamente en calor. Este proceso no solo ayuda a regular la temperatura corporal sino que también podría ser clave en la regulación del peso corporal y el metabolismo.
EL PAPEL DE LA GRASA PARDA EN LA PÉRDIDA DE PESO
El interés en la grasa parda como herramienta para la pérdida de peso se basa en su capacidad para quemar calorías. En condiciones de frío, la grasa parda se activa, consumiendo grandes cantidades de azúcar y grasa del cuerpo para generar calor. Este proceso de termogénesis no sólo ayuda a mantenernos calientes sino que también aumenta el gasto calórico, lo que puede conducir a la pérdida de peso.
Estudios recientes sugieren que las personas con mayores cantidades de grasa parda tienden a ser más delgadas y a tener un mejor control del azúcar en la sangre, lo que sugiere un papel protector contra la obesidad y la diabetes. La investigación está ahora centrada en cómo estimular la actividad de la grasa parda en adultos para aprovechar estos efectos metabólicos beneficiosos.
CÓMO ACTIVAR LA GRASA PARDA

La activación de la grasa parda puede lograrse a través de varios métodos, siendo la exposición al frío uno de los más efectivos. La exposición regular a temperaturas más bajas puede estimular la actividad de la grasa parda, incrementando así el gasto calórico. Otros estudios han explorado el papel de ciertos alimentos y compuestos bioactivos en la activación de la grasa parda, aunque la investigación en este área aún está en sus etapas iniciales.
El ejercicio físico es otro factor que podría influir en la grasa parda. Aunque la relación entre el ejercicio y la activación de la grasa parda no está completamente establecida, algunos estudios sugieren que el ejercicio podría aumentar la cantidad de grasa parda o mejorar su actividad.
Además de su papel en la pérdida de peso, la grasa parda podría tener otros beneficios para la salud. Su capacidad para quemar glucosa y ácidos grasos podría mejorar el control del azúcar en la sangre, ofreciendo un potencial terapéutico en la lucha contra la diabetes tipo 2. Además, la activación de la grasa parda podría influir positivamente en el colesterol y los triglicéridos, reduciendo el riesgo de enfermedades cardiovasculares.
DESAFÍOS Y PERSPECTIVAS FUTURAS
A pesar del potencial de la grasa parda en la regulación del peso y la mejora de la salud metabólica, aún existen desafíos significativos. La investigación en humanos es limitada, y aún no se han desarrollado estrategias efectivas y seguras para activar la grasa parda a gran escala. Además, la variabilidad individual en la cantidad y actividad de la grasa parda significa que no todos pueden beneficiarse de la misma manera.
El futuro de la investigación sobre la grasa parda es prometedor, con estudios en curso explorando nuevas formas de activar y aumentar este tipo de tejido adiposo en el cuerpo. A medida que avanzamos, la grasa parda podría convertirse en un componente clave en la lucha contra la obesidad y las enfermedades metabólicas, ofreciendo nuevas esperanzas y estrategias para aquellos que buscan mejorar su salud y calidad de vida.
ESTRATEGIAS NUTRICIONALES Y LA GRASA PARDA

Una de las áreas de interés en la activación de la grasa parda se centra en las estrategias nutricionales. Investigaciones sugieren que ciertos alimentos y nutrientes pueden influir en la actividad y eficacia de este tejido adiposo. Por ejemplo, el consumo moderado de alimentos ricos en ácidos grasos omega-3 ha mostrado potencial para aumentar la función de la grasa parda, posiblemente debido a sus propiedades antiinflamatorias y su capacidad para mejorar la sensibilidad a la insulina. Esta conexión resalta la importancia de una dieta equilibrada no solo para el mantenimiento del peso sino también como una potencial estrategia para potenciar la termogénesis inducida por la grasa parda.
Por otro lado, estudios recientes han explorado el impacto de bebidas como el té verde y el café en la activación de la grasa parda. Estas bebidas contienen compuestos como la cafeína y catequinas, que podrían estimular el metabolismo y aumentar la actividad termogénica. Aunque la investigación está en sus fases iniciales, estos hallazgos ofrecen una visión prometedora de cómo ajustes simples en la alimentación pueden tener efectos significativos en nuestra capacidad para manejar el peso y mejorar la salud metabólica.
La tecnología juega un papel crucial en la investigación y comprensión de la grasa parda. Avances como la termografía infrarroja y la imagen por resonancia magnética (IRM) han permitido a los científicos estudiar con precisión la localización, cantidad y actividad de la grasa parda en el cuerpo humano. Estas herramientas no invasivas han abierto nuevas puertas para el estudio del tejido adiposo marrón, facilitando la identificación de factores que influyen en su actividad y cómo estos pueden ser manipulados para fines terapéuticos.
Además, el desarrollo de biomarcadores específicos para la grasa parda está en marcha, lo que podría permitir una evaluación más precisa de su función y actividad en estudios clínicos. Estos avances no solo mejoran nuestra comprensión del papel de la grasa parda en la regulación del metabolismo sino que también acercan la posibilidad de tratamientos personalizados basados en la activación de este tejido para la prevención y manejo de la obesidad y sus enfermedades asociadas.
CONCLUSIONES Y REFLEXIONES FINALES

La grasa parda representa un campo emocionante y en rápido desarrollo dentro de la ciencia médica y la nutrición. Su capacidad única para quemar calorías y regular la temperatura corporal la convierte en un potencial aliado en la lucha contra la obesidad, la diabetes y otras condiciones metabólicas. Sin embargo, es importante recordar que la activación de la grasa parda es solo una pieza del complejo rompecabezas que es la salud humana. Un enfoque equilibrado que incluya dieta, ejercicio, y bienestar emocional sigue siendo esencial para alcanzar y mantener un peso saludable y una vida plena.
A medida que la investigación avanza, es probable que descubramos nuevas formas de optimizar la función de la grasa parda en nuestro favor. Hasta entonces, la clave está en seguir las recomendaciones de salud actuales, mantenerse activo y comer de manera balanceada, aprovechando lo que ya sabemos sobre este fascinante tejido. La grasa parda no es solo un recordatorio de la maravillosa complejidad de nuestro cuerpo, sino también una promesa de futuros avances en la medicina y el bienestar salud.





