La columna vertebral cumple una labor fundamental en el cuerpo humano, ya que además de posibilitar el movimiento y proporcionar equilibrio, también alberga la médula espinal.
Por diferentes causas, sus partes pueden sufrir alteraciones en su morfología y funcionamiento, provocando molestias que, en ocasiones, desembocan en situaciones graves que afectan a la salud de las personas.
Para el Dr. Carlos Botella-Asunción, especialista en neurocirugía y cirugía de hernia discal, esta es una de las afecciones que más afectan a la columna, dada su alta recurrencia y la cantidad de pacientes que sufren esta patología.
Este artículo tiene el propósito de explicar en qué consiste esta enfermedad y cómo afecta a la salud general.
¿Cuáles son las características de las hernias discales dorsales?
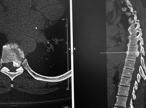
Los discos dorsales son tejidos semejantes a un cojín esponjoso que se encuentran entre las vértebras de la columna. Las hernias aparecen cuando uno de los discos sobresale de entre las vértebras, presionando los nervios y la médula, lo que produce dolor y otros síntomas como la sensación de hormigueo, dependiendo del lugar en el que se originen.
Es común que con la edad, el material gelatinoso que amortigua los discos se debilite y desaparezca, posibilitando movimientos que los desvíe de su posición original, produciendo de esta manera una hernia. Cuando el disco llega a presionar la médula o algún otro nervio importante, es posible que el paciente presente sensación de adormecimiento en las extremidades y, en casos más graves, debilidad en las extremidades o dificultad para el movimiento.
Es habitual que una persona con edad avanzada presente hernias discales, sobre todo cuando han sufrido algún traumatismo en la columna o han sometido su espalda a trabajos pesados sin la correcta supervisión y tratamiento.
Existen diferentes maneras de detectar una hernia discal, pero en todo caso, es el especialista médico el que debe valorar al paciente y especificar el método de diagnóstico que mejor se adapte a sus necesidades y a la naturaleza de su lesión. El tratamiento dependerá de la gravedad de la hernia. Por regla general, el tratamiento es inicialmente conservador con el uso de medicamentos, reposo, rehabilitación e infiltraciones en su caso.
Cirugía de hernia discal
Cuando los tratamientos anteriores no funcionan es necesario llevar a cabo una intervención quirúrgica en donde se extirpe la hernia y se fortalezca la columna vertebral. El Dr. Botella-Asunción es uno de los médicos más reconocidos en cirugía de hernia discal de Valencia utilizando técnicas mínimamente invasivas (endoscópica o microscópica), ya que ha tratado pacientes con todo tipo de anomalías relacionadas con esta enfermedad.
¿Cuándo comunicarse con el médico?
El doctor recomienda solicitar consulta con el especialista si se comienza a tener pérdidas de orina o de evacuaciones intestinales y esto no es algo normal en dicho caso. También cuando el dolor empeora, incluso después de haber tomado los medicamentos o si se tiene alguna pregunta o inquietud acerca de la condición o cuidado.
En su consulta, el Dr. Botella-Asunción espera contribuir a la mejoría de pacientes con problemas derivados de la aparición de hernias discales, de tal manera que encuentren alternativas de tratamiento eficientes con las que puedan mejorar su calidad de vida y fortalecer su salud.






