La tecnología es un arma de doble filo. Mejora mucho la vida de las personas, puede permitir al ser humano hacer cosas hasta ahora insospechadas, pero también implica problemas. La seguridad informática es un tema que preocupa mucho en la actualidad. Por eso, ciertas tecnologías de conectividad no se le deberían aplicar a dispositivos tan críticos como marcapasos, bombas de insulina, etc.
Si se le añade tecnología inalámbrica como Bluetooth o WiFi a estos dispositivos, cualquiera podría hackearlos para hacer que funcionen de forma errática. Si se tiene en cuenta que de ellos depende la vida o la salud de una persona, las consecuencias podrían ser incluso mortales. Por eso, muchas cosas deberían estar desconectadas por el bien de todos…
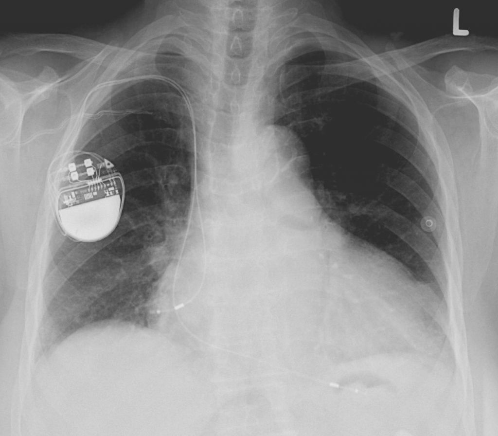
2Marcapasos
En una de las conferencias sobre seguridad informática más conocidas e importantes a nivel mundial, la Black Hat USA 2018, se hizo una conferencia llamada «Understanding and Exploiting Implanted Medical Devices«.
En ella se mostraban pruebas de concepto y técnicas para poder atacar a estos dispositivos como los marcapasos.
Algunos modelos de marcapasos israelíes, entre los que e encuentran casi medio millón de ellos, estaban en la lista negra. Estos dispositivos tenían como novedad conectarse a una pantalla de forma remota para poder monitorizar al paciente. Pero esa posibilidad de ver esos datos biomédicos también hacen que cualquier persona cercana pueda aprovechar algunas debilidades para realizar un ataque y hacer que funcione a un ritmo inapropiado produciendo arritmias o agotando la batería de forma precipitada. Es decir, se podría poner en riesgo la vida del paciente.








